Un homme s’est brisé le pénis verticalement en faisant l’amour | Le Sac de chips
/unbelievable

Un homme s’est brisé le pénis verticalement en faisant l’amour

Image principale de l'article Un homme s'est brisé le pénis verticalement
Adobe Photo Stock + BMJ Case Reports

Un citoyen du Royaume-Uni a eu une nuit mouvementée, en juillet 2020, lorsqu’il a subi une fracture verticale du phallus.

Selon des documents médicaux publiés ce mardi, la blessure du patient serait plus rare que sa version plus commune (qui se déroule habituellement horizontalement).

• À lire aussi: Les internautes partagent comment ils se débarrassent d’érections non-désirées

En fait, les urologues en charge de ce dossier croient même qu’il s’agirait d’une première mondiale.

Dans le document, on raconte que l’homme de 40 ans se serait fracturé le membre viril en pratiquant «l’acte» et plus précisément quand son sexe serait entré en collision avec le périnée de sa partenaire.

Le périnée, pour ceux qui ne le savent pas, est l’endroit du corps situé entre les organes sexuels et l’anus. 

(Si vous avez besoin d’une image, regardez derrière vous et si vous êtes seul, vous pouvez cliquer ici.

• À lire aussi: [VIDÉO] Un shérif se fait interrompre par un dildo volant attaché à un drone

Quoiqu’il en soit, l’homme n’a pas entendu de bruit particulier lors de sa blessure et l’enflure qui en a résulté a été somme toute modérée.

Il a même pu conserver son érection quelques instants, avant que celle-ci ne s’estompe.

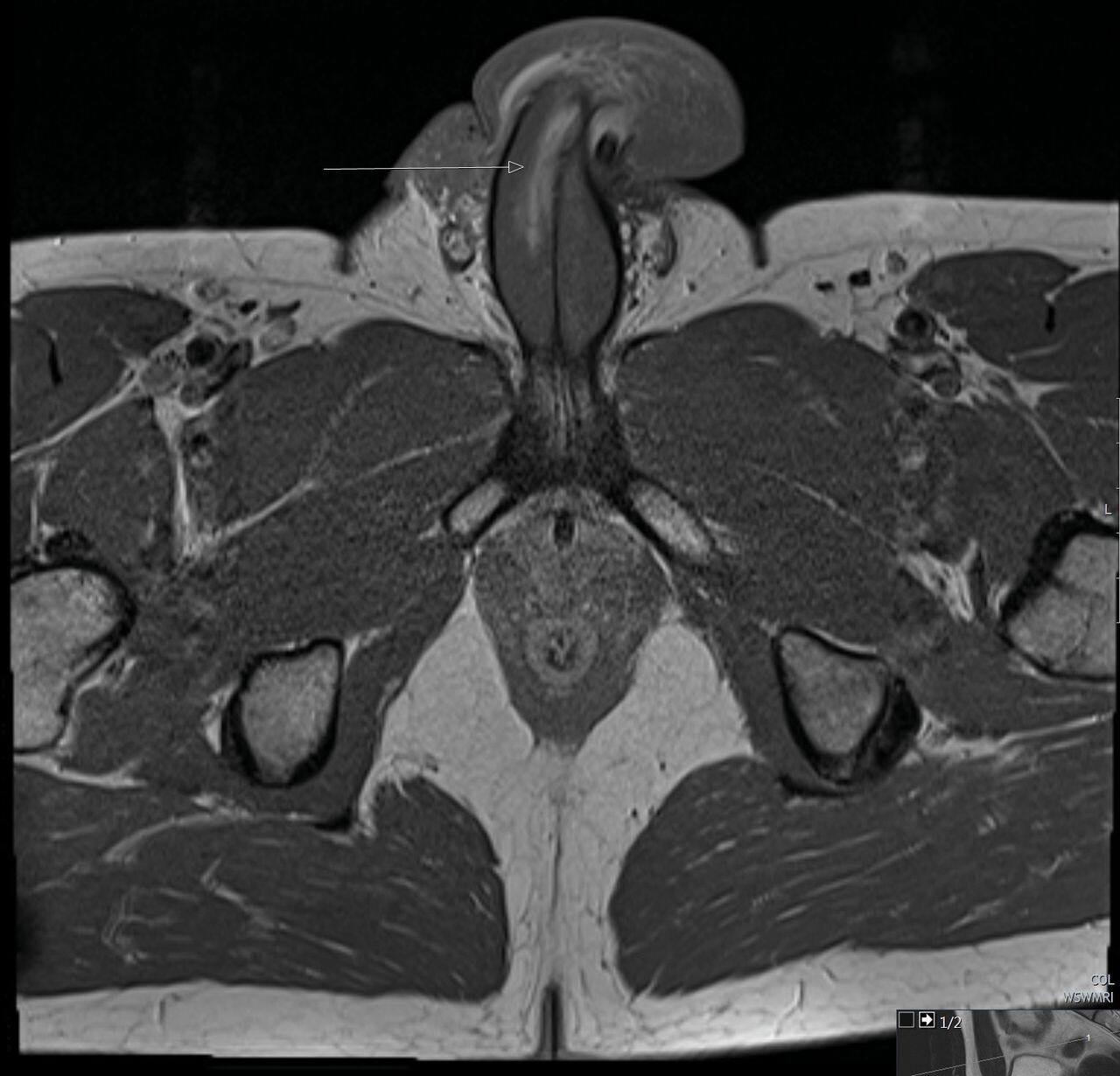
Il a cependant consulté un médecin qui, intrigué, a demandé à voir des images de résonance magnétique.

BMJ Case Reports

• À lire aussi: Cette magnifique couverture-pénis vous permet de relaxer bien au chaud devant la télé

Ces dernières ont fait la preuve que l’homme avait subi une déchirure longue de trois centimètres dans les tissus sur le côté droit de son organe mâle, dans le sens de la longueur, et non dans le sens de la largeur.

Malheureusement pour tous, en raison des contraintes liées à la COVID-19, les photographes médicaux n’ont pas pu immortaliser la très rare fracture pénienne verticale du quadragénaire.

Et bonne nouvelle pour l’amoureux endolori: sa blessure ne devrait pas laisser de traces à long terme, ni le laisser handicapé.

• À lire aussi: Les gros nez pourraient être liés aux gros pénis, selon une étude

«En termes d’issues à long terme, nous allons comparer la guérison du patient à celle de la littérature», ont écrit les médecins. «Toutefois, de façon rassurante, il a pu reprendre l’activité sexuelle en moins de 6 mois après sa blessure, tout en ayant des érections de la même qualité qu’auparavant, sans courbure du pénis et sans cicatrice palpable».

Booon! Tout est bien qui finit bien!

À voir aussi sur le Sac de Chips:

s

s

s


Sur le même sujet

À lire aussi

Publicité

VOUS POURRIEZ AIMER

Publicité

En collaboration avec nos partenaires